部分矯正について
前歯の部分矯正治療は、適応症例となる方にとってはメリットがある治療です。
歯の移動量と部位が限られるため、短い治療期間(半年から1年程度)で治療を終えることができます。 また全体の矯正治療と比較して費用が押さえられます。
しかしながら、すべての歯並びで部分矯正治療が可能というわけではなく、実際には非常に限られた歯並びです。
前歯の部分矯正治療が適応となる条件
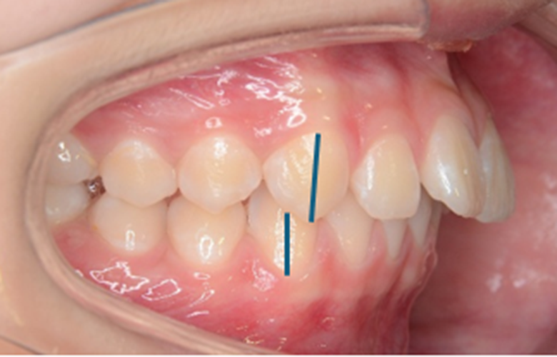
1,上下の奥歯や犬歯の前後的な関係が良好であること
奥歯の噛み合わせに前後的なズレがある場合は、前歯にもズレが生じるために、奥歯の位置を補正する治療の必要性があり、全体矯正治療の適応となります。
歯の前後的位置関係の分類
Angle class Ⅱ |
Angle class Ⅲ |
Angle class Ⅰ |
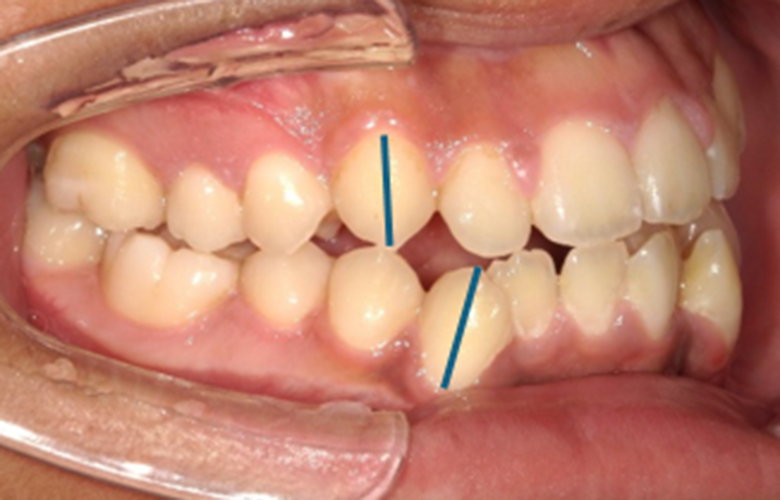
2,前歯の咬み合わせの垂直的な関係が良好であること
開咬(前歯の間に隙間がある噛み合わせ)や過蓋咬合(下の前歯が上の前歯の根元に噛み込んでる深い噛み合わせ)は、部分矯正治療での治療は困難です。
開咬 |
過蓋咬合 |
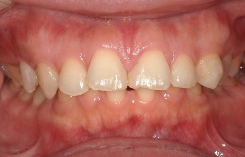
3,叢生量(ガタガタ、重なりの量)が軽度であること
これらの条件を満たし、前歯の距離(オーバージェット)や歯軸(歯の角度)を考慮し、部分矯正か可能か判断します。
前歯の部分矯正では緊密な噛み合わせをつくることが困難なこと、上下の正中線の一致は難しいケースもあることを説明したうえで治療を開始します。
カウンセリングでは部分矯正を希望された患者様でも、現状の歯並びの説明をおこなうと全体矯正や抜歯矯正を承諾していただくこともあります。
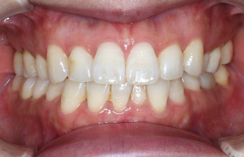
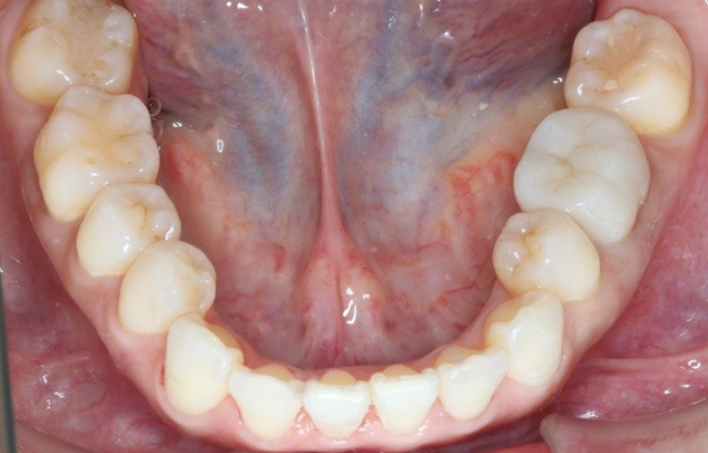
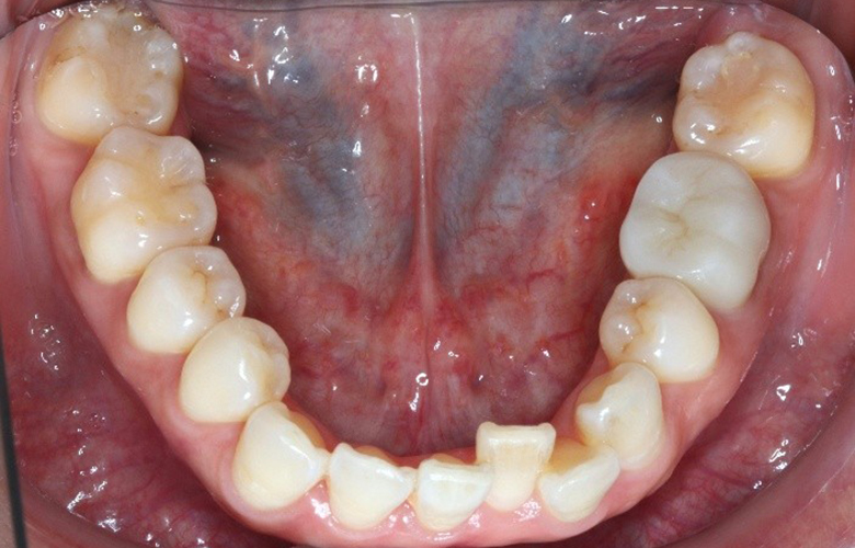
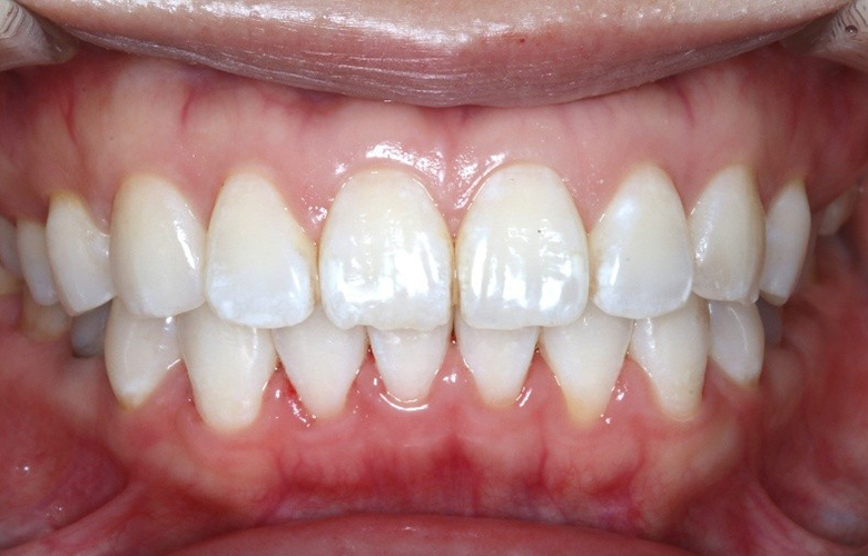
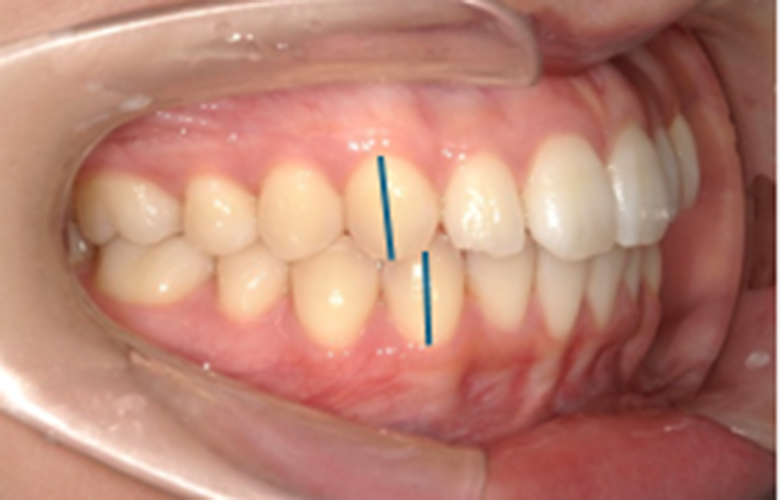
当院で動的治療を終えた患者様です。
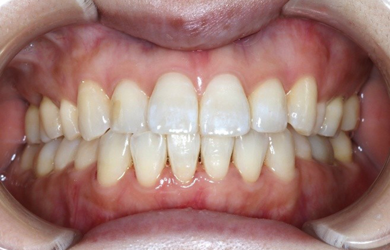
部分矯正症例1
|
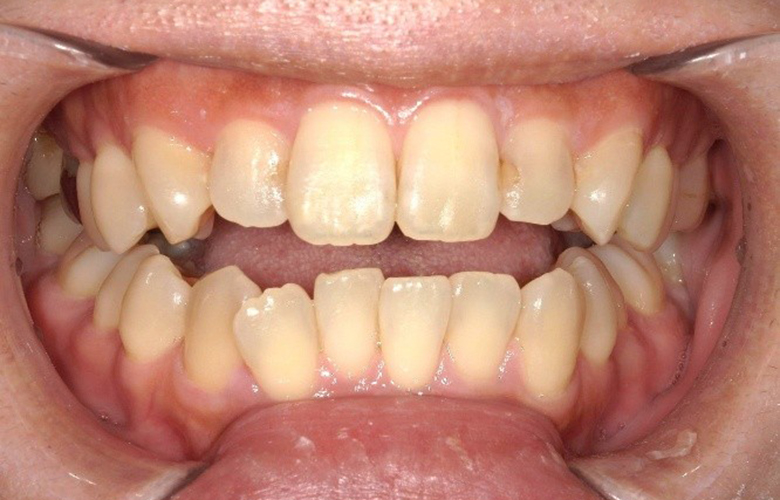
治療前
![]() |
治療後
![]() |
動的治療期間 |
8か月 |
費用 |
検査診断料 44,000円 |
内容 |
20年以上前に抜歯矯正治療をされた患者様です。 下顎前歯のみの部分矯正でしたが、正中を一致させるためにIPR(歯の形態修正)をおこないました。 |
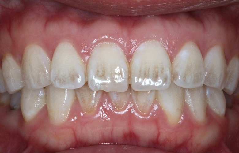
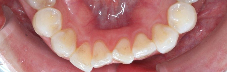
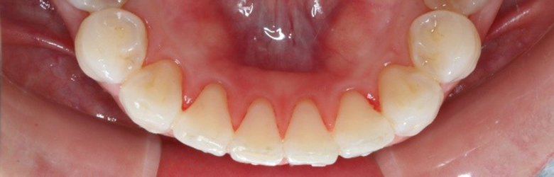
部分矯正症例2
|
治療前
![]() |
治療後
![]() |
動的治療期間 |
7か月 |
費用 |
検査診断料 44,000円 |
矯正歯科クリニック三田赤羽橋:https://orthoclinic-mita.com/
〒108-0073 東京都港区三田2-10-2 三田耀ビル 1F
電話:03-6436-7895
交通アクセス
電車でお越しの方:三田・赤羽橋各駅より徒歩6分、田町駅より徒歩9分
Angle class Ⅱ
Angle class Ⅲ
Angle class Ⅰ
開咬
過蓋咬合



